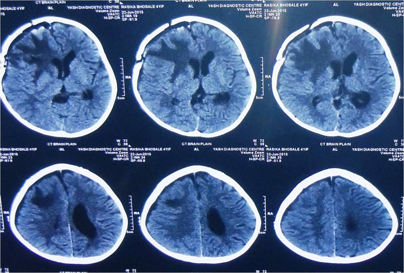
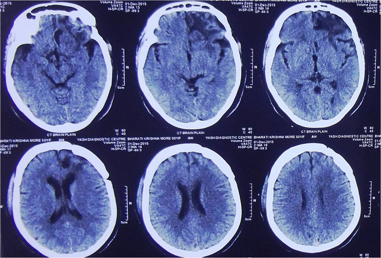
Traumatic Brain injury is defined as damage to the brain resulting from external mechanical force,
commonest causes of brain injury are vehicular accidents, assaults, and accidental falls etc.
Traumatic Brain injury is a major cause of death and disability worldwide, especially in children and young adults.
Prevention measures include use of seat belts and helmets, not drinking and driving, fall prevention efforts in older adults and safety measures for children.
Brain injuries can be minor or major life threatening. The signs and symptoms depend on the severity of injury.
It is important to begin emergency treatment within the so-called "Golden Hour" following the injury.
Minor injuries are usually treated with medications and constant monitoring. Moderate to severe injuries require treatment in neurosurgical ICU and may require emergency surgery.