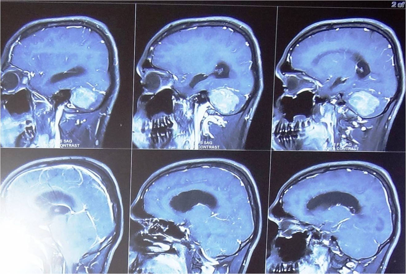
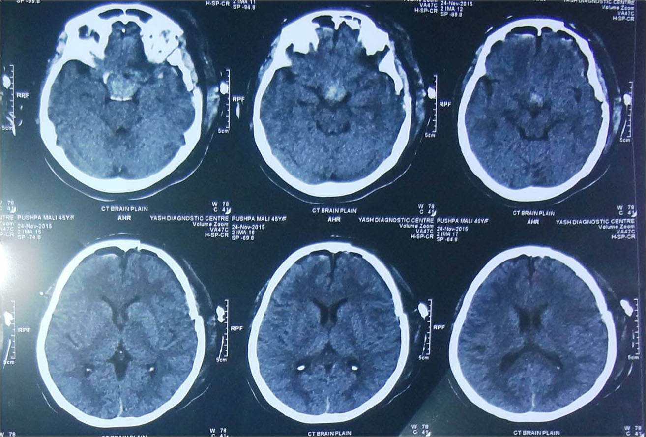
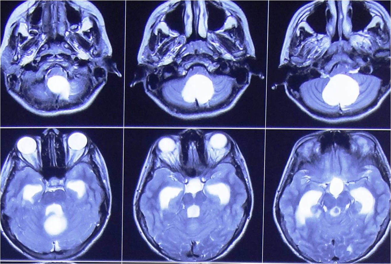
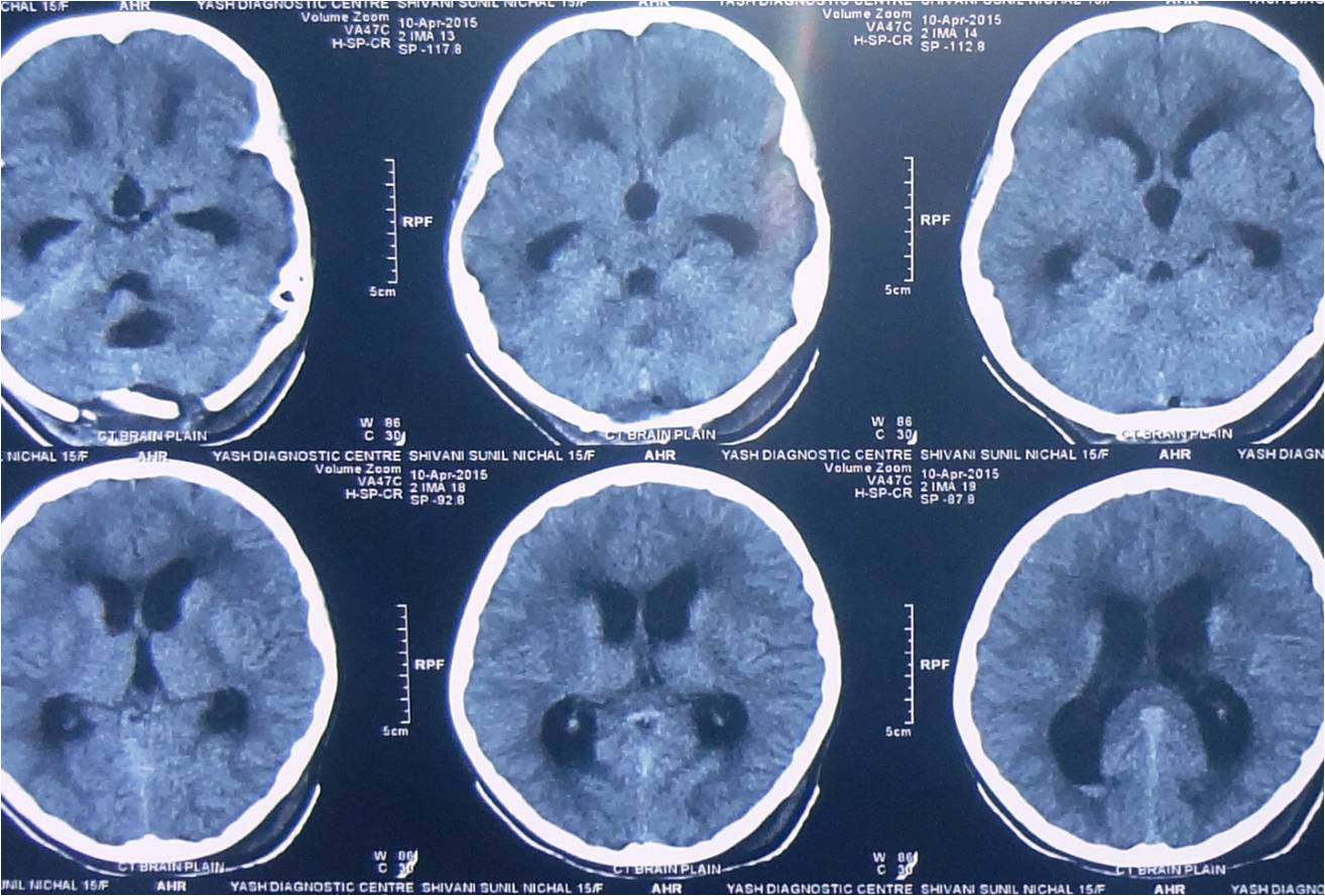
A Brain Tumor occurs when abnormal cells form within the brain. There are two main types of tumors: cancerous
(malignant) tumors and benign (non-cancerous) tumors. Cancerous tumors can be divided into primary tumors,
which start within the brain, and secondary tumors, which most commonly have spread from tumors located outside
the brain, known as brain metastasis tumors.
All types of brain tumors may produce symptoms that vary depending on the part of the brain involved. These
symptoms may include headaches, seizures( Convulsions/ Fits), problems with vision or hearing, vomiting, behaviouralchanges,
weakness on one side of face or body, difficulty in speech, imbalance while walking etc. If one experiences
any of these symptoms he/ she should consult a neurosurgeon immediately. Usually CT Scan/ MRI of brain help
in the diagnosis. Most of the brain tumours can be safely treated by surgery but the treatment plan may vary
depending on the diagnosis.